CPD Shorts: Cervical length assessment in pregnancy

Ellen Dyer outlines six key points around assessing cervical length in pregnancy

Published: 06 March 2026 CPD

By Ellen Dyer, lead research sonographer, University of Cambridge and Cambridge University NHS Foundation Trust

Measuring the cervix always sounds so easy. But the reality is that it is sometimes difficult to obtain a reproducible measurement. Accurate cervical length measurements are important as they guide clinical management. There are some considerations that can help ensure accurate measurements are achieved. 

Six key points

  1. Transvaginal scan

    Using the transvaginal method, with patient consent, provides clearer landmarks and allows for more accurate measurements to be achieved. 
     
  2. Empty bladder and avoid excess pressure

    In addition to being more comfortable for the patient, an empty bladder and light transducer pressure reduces the chance of obscuring the landmarks needed for an accurate measurement or artificially elongating the cervix. 
     
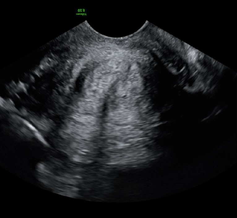
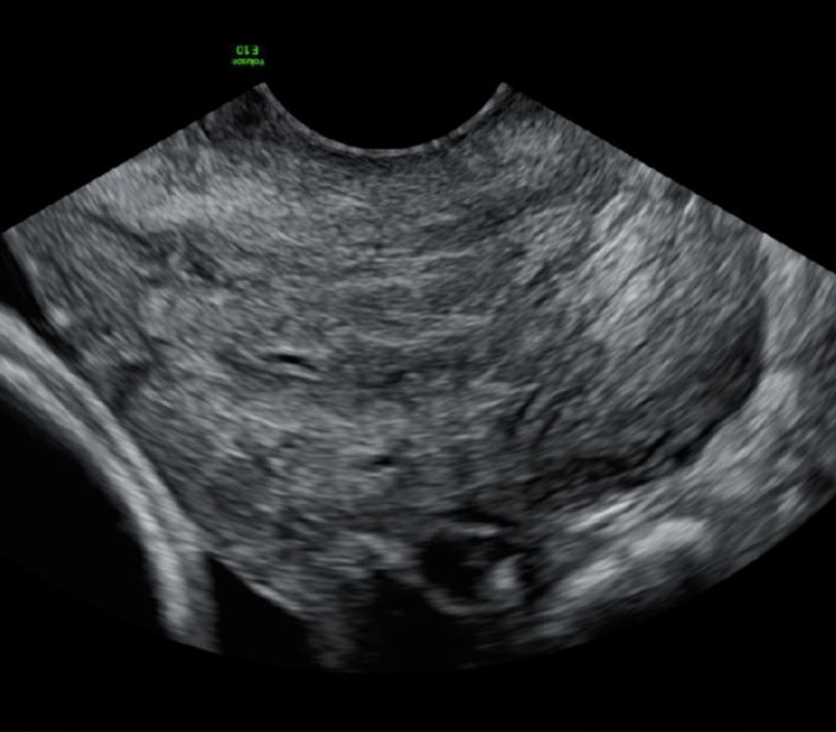
  3. Underdeveloped lower uterine segment

    At early gestations, less than 20 weeks, the lower uterine segment is not always fully developed and can mimic a long cervix. It is important therefore to make sure the internal os is correctly identified. Identifying the cervical glands and bladder angle as landmarks can help with this (Figure 1).


    Figure 1. Example of an underdeveloped lower uterine segment, red arrows indicate underdeveloped lower uterine segment.
     
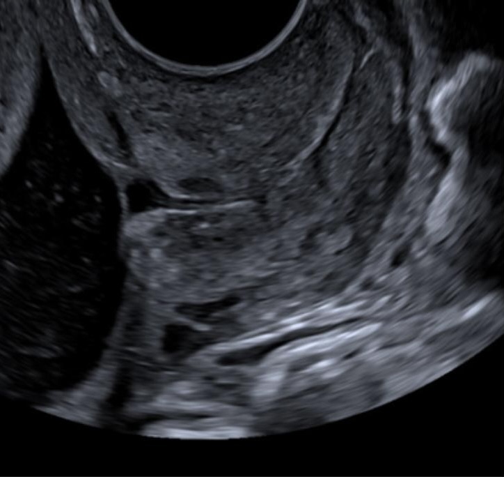
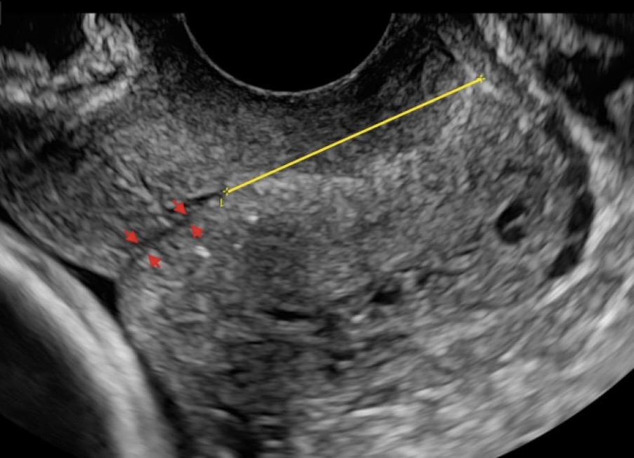
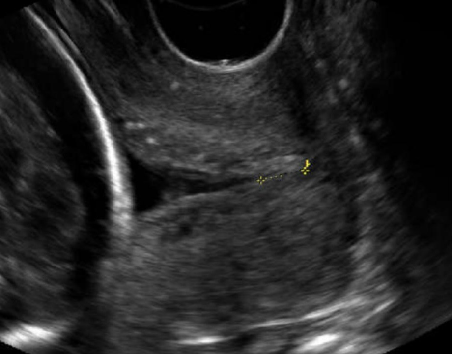
  4. Accurately determining cervical funnelling

    The key to deciding whether there is actually cervical funnelling is to assess whether the membranes bulge into the cervical canal. With true cervical funnelling the membranes will always bulge into the cervical canal.


    Figure 2a. Example of long and closed cervix, without funnelling, showing the membranes covering the internal os.


    Figure 2b. Example of short cervix with evidence of cervical funnelling. Note the membranes forming a V-shape into the cervical canal
     
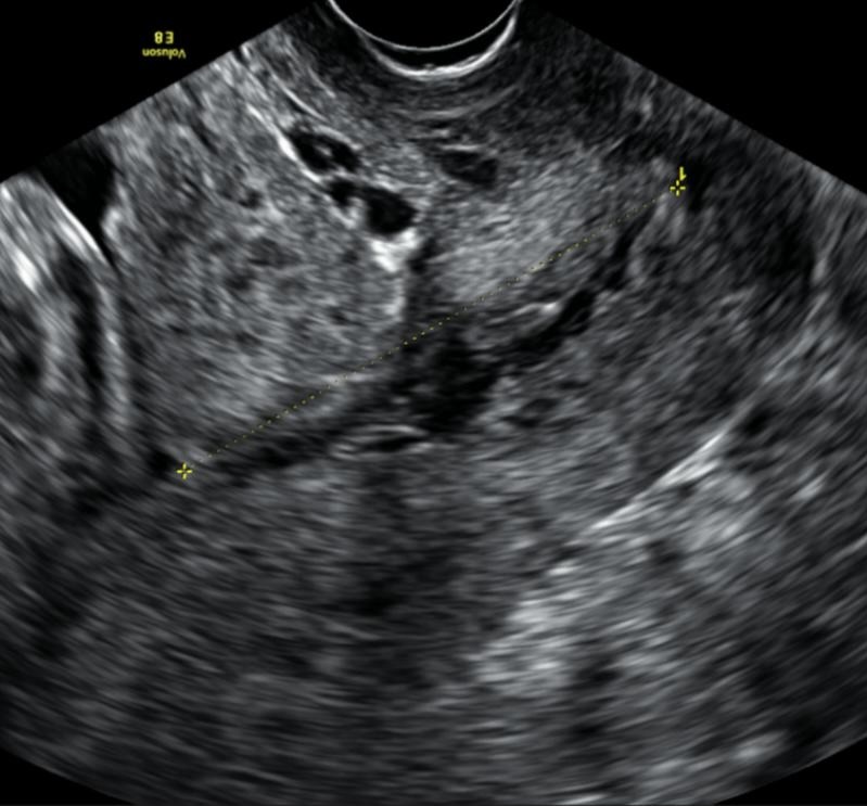
  5. Previous full dilatation caesarean section

    With more than 50% of babies in the UK now born by caesarean section, referrals to preterm clinics following full dilatation caesarean section are increasing. The challenge with imaging the cervix in this scenario is that the caesarean section incision can be confused with the internal os.  It is therefore important to identify the incision and consider whether the cervix extends beyond it as in figure 3.


    Figure 3. Example of caesarean incision in a long cervix
     
  6. Uterine didelphis

    Congenital uterine anomalies are a risk factor for preterm birth; however women are not always aware of their specific uterine anomaly. It is therefore always good practice to consider a uterine anomaly, such as uterine didelphis, when the cervix has an unusual appearance. If you suspect two cervical canals on longitudinal section, turn into transverse section to confirm the presence of two cervical canals (Fig 4).



    Figure 4a. Longitudinal section showing two cervical canals

    Figure 4b.  Transverse section showing to two cervical canals in cross section.

Reflection Prompts:

  1. Are you familiar with the landmarks for assessing cervical length?
  2. Have you audited cervical length assessment within your department? Does everyone use the same technique? Is there consistency in calliper placement?
  3. When communicating with pregnant patients do you consider:
  • Previous gynaecological and obstetric history?  
  • Whether they have had a previous caesarean section
  • If they are they aware that they have a uterine anomaly
  • ​How they are feeling – do they have any signs or symptoms of preterm labour?

Further reading:

  1. Dyer E.E-learning for health. 21_13 – Obstetric Ultrasound: Placental and Cervical Assessments in Pregnancy. 2025. https://portal.e-lfh.org.uk/Component/Details/347695 (log-in needed - free for NHS staff and university students)
  2. Coutinho, C.M., Sotiriadis, A., Odibo, A., Khalil, A., D'Antonio, F., Feltovich, H., Salomon, L.J., Sheehan, P., Napolitano, R., Berghella, V. and da Silva Costa, F.  ISUOG Practice Guidelines: role of ultrasound in the prediction of spontaneous preterm birth. Ultrasound Obstet Gynecol. 2022; 60: 435-456. https://doi.org/10.1002/uog.26020